EN
FR AR

AI Portfolio

Hckonnect

Bonemetrics

Automated Precision Measurements

Radiology
Hckonnect

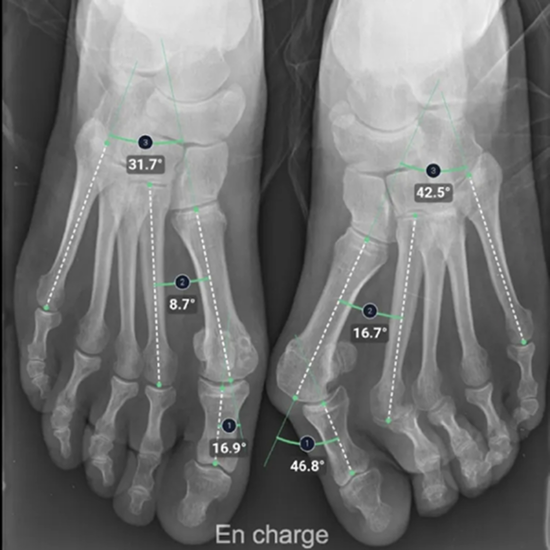
BoneMetrics: Automation of MSK Measurements and Workflow Optimization

With the aid of BoneMetrics, the capture of MSK measurements can be automated. Moreover, workflow optimization can be achieved through unparalleled precision in X-ray and EOS acquisitions.

Hckonnect

Optimizing your process

BoneMetrics automatically performs standard measurements for the feet, legs, pelvis/hips, and spine.

Through accurate point placement and easily understandable displays, the introduction of the software allows you to direct your attention to more critical tasks.

Hckonnect

Improving data reliability

By introducing AI-supported standardization, variability can be reduced and reproducibility can be ensured.

Clinical studies prove that BoneMetrics matches the expertise of MSK radiologists, enabling your practice to provide the best possible service to patients.

Hckonnect

Enhancing clinician satisfaction

BoneMetrics instinctive reports seamlessly integrate with your X-ray and EOS acquisitions, streamlining the interpretation procedure and elevating the satisfaction of your prescribers.

Hckonnect

DR. AURELIEN LAMBERT

RADIOLOGIST, IM2P, FRANCE

BoneMetrics is a game-changing solution that streamlines the process of measuring bones efficiently and accurately, allowing our center to save time, improve workflow, and make a better report for clinicians.

1/1

Related products

View all products