EN
FR AR

AI Portfolio

Hckonnect

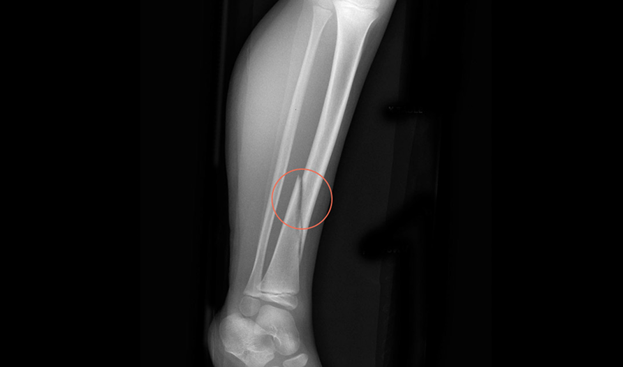
Rbfracture™

AI-powered, automatic detection of trauma-related findings

Radiology
Hckonnect

Most common

Hip fractures are the most common disabling injury and cause of accidental death in older people.

High mortality

Hip fractures have a 1-year mortality rate of 22% for women and 33% for men

Missed cases

It is estimated that between 2-9% of hip fracture cases are missed

Hckonnect

Benefits of using RBfracture™

Supports trauma
reads 24/7

Improved diagnostic
accuracy

Suggested diagnosis
within seconds

Clinical Trial

Trial showing improved diagnostic accuracy for Emergency Care residents when
reviewing hip fracture X-rays

In numbers

5.6%

Average improvement in
Sensitivity when using the tool

47%

Increased Standardisation
Unified pathway for patients with knee osteoarthritis

Change over time

Hckonnect

Above shows the change using RBfracture™ has had on reviewing hip fracture images by reader group

Related products

View all products