EN
FR AR

AI Portfolio

Hckonnect

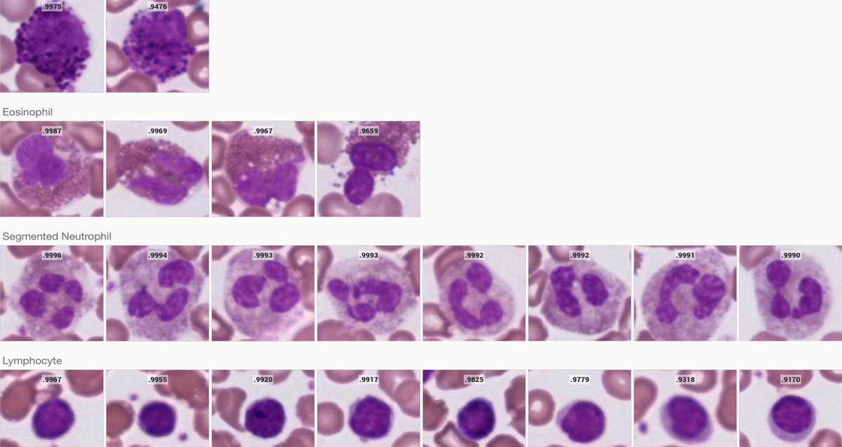
Blood differential

Digital hematology manual differential assistance for diagnosis

Microbiology
Hckonnect

Techcyte saves laboratories time and money by assisting hematopathologists with computer-assisted blood differentials using artificial intelligence.

The Techcyte Blood Differential uses deep machine learning to identify in 30 seconds the mono layer, and classifies white blood cells and red blood cells into the following categories:

  • White Blood Cells
  • Segmented neutrophils
  • Band neutrophils
  • Eosinophils
  • Basophils
  • Lymphocytes
  • Monocytes
  • Blasts
  • Promyelocytes
  • Myelocytes
  • Metamyelocytes
  • Variant lymphocytes
  • Smudge cells
  • Artifacts
  • nRBC
  • Unidentified cells
  • Red Blood Cells
  • Hypochromasia
  • Polychromasia
  • Microcytosis
  • Macrocytosis
  • Anisocytosis
  • Poikilocytosis
The Techcyte Blood Differential analyzes any good-quality 40x image. Slides must be prepared using a May Grünwald Giemsa, Wright Giemsa, or Giemsa stain.

In the United States, Techcyte is used for research use only. In Europe, Techcyte has earned the CE-IVD label.

Related products

View all products